mriCroN是一款非常实用的医学影像分析软件,mriCroN拥有较好的用户界面,实用和高效的软件功能,支持VOI颜色、 强度过滤器、用VOI掩盖图像、叠加比较、统计、3D平滑叠加、2D全部平滑、翻转L/R、十字线、MNI坐标、地标等,可以协助用户查看与分析医学图像。除此之外,mriCroN还可以通过鼠标对医学影像进行调整,以便进行观测。内置了一个dcm2nii程序,用户可以将扫描仪图像转换为NIfTI格式,对影像的各个方位创建多张照片,让医生可以更好的观测医学影像。
软件特色
1、简单和平易近人的界面
MRIcron的界面非常容易处理,这意味着您不需要很多以前的使用经验就可以使用它。主工具栏包含您可能想要使用的所有组件,如“切换十字线”,“笔工具”或“填充工具”。
2、加载您的图像并选择查看模式
MRIcron允许您从“文件”菜单打开需要的文件,将其载入主窗口,让您在三个不同的面板中在X,Y和Z轴上查看它。可用的视图模式是“轴向”,“冠状”,“矢状”或“多个”。
3、方便的DICOM查看器
综上所述,MRIcron是一种可靠且易于使用的实用程序,您可以在需要使用扫描,X射线和其他类似的医学图像时使用该程序,从而使您可以在很短的时间内完成分析。
4、可以移动图片并对其进行调整,以便访问和分析某个图层。
此外,MRIcron为您提供“MultiSlice”功能,可为医学影像的各个部分创建单张照片,并将它们排成队列,以帮助您更迅速地进行比较。
使用技巧
1、启动NPM并打开设计窗口(VLSM / Design ...),将出现一个电子表格,选择文件/打开并查看文件continuous.val。

2、需要首先描述病变图并命名行为表现指标,选择查看/设计来调出描述窗口。

3、接下来,我们需要计算统计结果,您可以通过选择MRIcron的绘图/统计菜单中的项目进行一些统计。

4、NPM现在将计算所要求的测试,它将创建所有患者的重叠图像(例如sum.nii.gz)和统计图(BM.nii.gz用于连续数据,L.nii.gz用于二项数据)。

5、然后可以打开生成的统计图,并将它们放在解剖扫描的顶部。

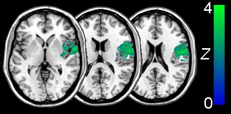
6、接下来,MRIcron显示覆盖图。请注意屏幕底部的软件会报告临界值:p05 / p01值对应于非正确的p <0.05和p <0.01值,这些值非常宽松(这些测试会产生很多虚假警报,例如,在这里我们已经进行了16082次测试,所以p05应该会导致很多误报)。

7、考虑左侧面板中显示的原始状态图,而中间面板已经被设置为仅显示Z-分数大于2.5的体素(三个区域存活该阈值),右侧面板显示更保守的Z> 4.5的阈值 - 只有一个高峰幸存下来。

8、最后我们重复步骤6,来加载多个叠加层,以比较不同的统计测试。

网友评论